Oesophageal Cancer is cancer of the muscular tube that leads from the throat to the stomach. The oesophagus is about 10 inches long and is a part of the digestive tract. It’s role is to move food from the mouth through to the stomach.
Around half of all oesophageal cancers occur in the middle third of the oesophagus, while 35% occur in the lower third and gastro-oesophageal junction. Only 15% of oesophageal cancers occur in the upper third of the organ.
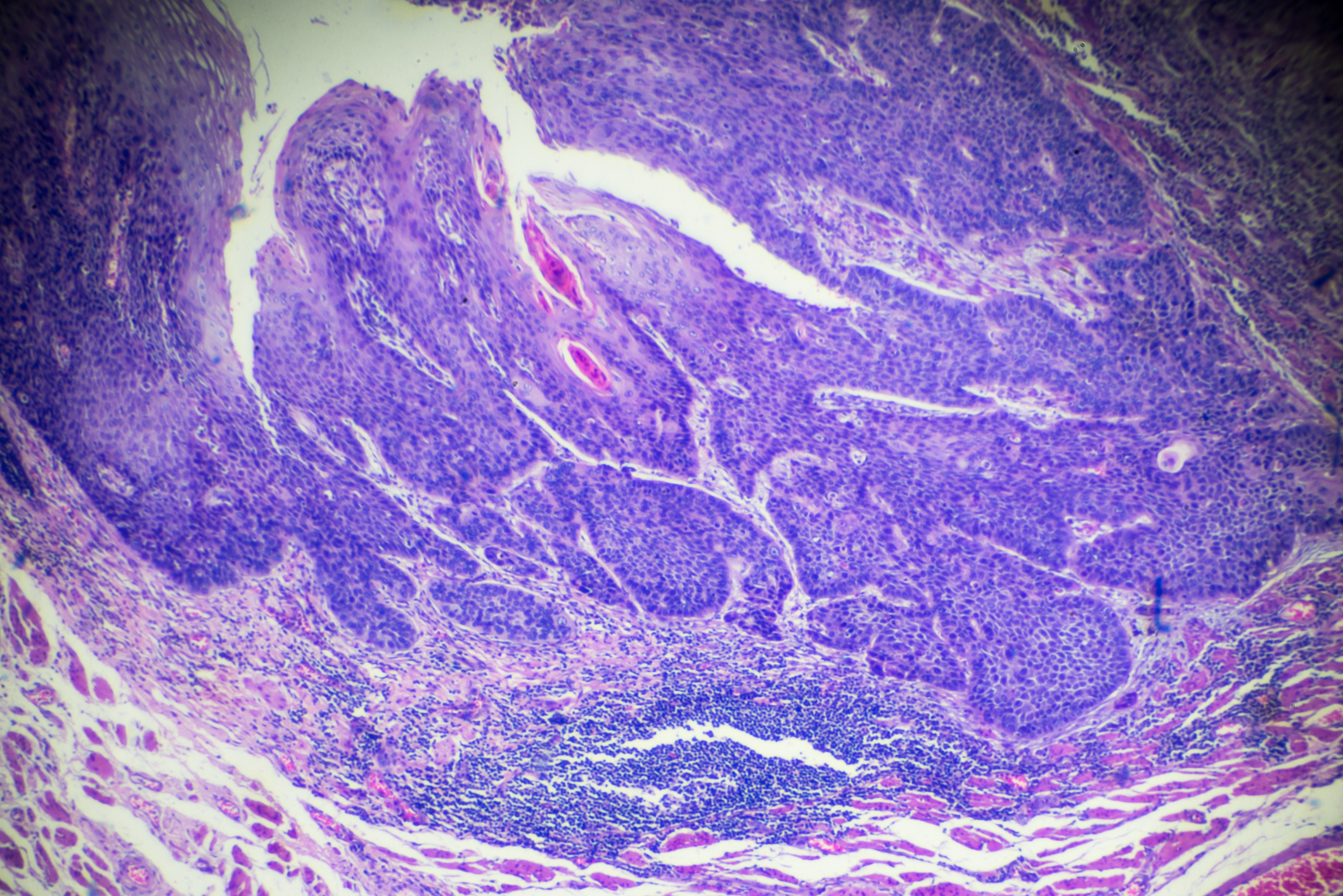
One of the main types of oesophageal cancer is squamous cell carcinoma, which begins in the squamous (skin-like) cells lining the middle and upper part of the oesophagus. Around half of all oesophageal cancers are of this kind.
The other most common type is adenocarcinoma, which first develops in glandular tissue in the lower part of the oesophagus. This occurs because the cells lining the oesophagus near the opening of the stomach have been overexposed to constant stomach acids. In most cases this is due to ‘reflux’, caused when the sphincter muscle at the end of the oesophagus lets digestive acids bubble up into the oesophagus.
Gastroesophageal reflux disease (GERD), otherwise known as long term acid reflux, may change the cells of the lower oesophagus into the same type of cells which line the stomach. If this happens over a long period, the cells of the lower oesophagus can become cancerous.
Another condition, called Barrett’s oesophagus, can also precede oesophageal cancer.
Barrett’s oesophagus is a condition in which the normal flat-celled (squamous) lining of the oesophagus changes, becoming similar to the glandular tissue that lines the intestine. This change is called metaplasia, and it can progress to a more dangerous, pre-cancerous form called dysplasia. In a small number of patients, these changes can go on to form oesophageal cancer.
Many symptoms of Oesophageal Cancer develop late in the disease’s progression, at which time the cancer is at a more advanced stage and can be difficult to treat.
It is important to note that there are a number of conditions that may cause these symptoms, not just oesophageal cancer. If any of these symptoms are experienced, it is important to discuss them with your GP.
A proper diagnosis of Oesophageal Cancer will include tests such as:
Factors influencing the treatment approach include how large the tumour has grown, how deeply it has invaded the layers of the oesophagus, and whether it has spread to nearby organs, lymph nodes, or other body parts.
When a patient is healthy enough to withstand it, surgery is used to treat this cancer – alone or combined with chemotherapy and radiotherapy. The types of surgery are:
Surgery alone can be curative if the cancer is found early and has not spread beyond the oesophagus. It is also used to relieve symptoms including swallowing problems.
A combination of chemotherapy and radiotherapy may be used without surgery and chemotherapy can be given before surgery.
Radiotherapy is also used to relieve pain, help swallowing, or treat other symptoms of oesophageal cancer.
Common risks are smoking and high alcohol consumption.